The protein encoded by this gene is a member of the STAT protein family. In response to cytokines and growth factors, STAT family members are phosphorylated by the receptor associated kinases, and then form homo- or heterodimers that translocate to the cell nucleus where they act as transcription activators.
推荐稀释比 WB:1/500-1/1000; IHC:P:1/100-1/200; ICC/IF:1/100-1/200; FC:1/20-1/50

Western blot analysis of STAT3 in Rat heart lysates using STAT3 antibody.

Western blot analysis of STAT3 in (1) A431 lysates; (2) Human liver lysates; (3) mouse heart lysates; (4) rat brain lysates using STAT3 antibody.

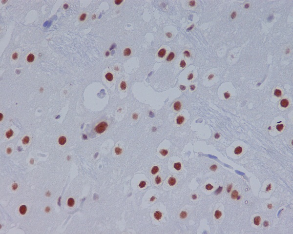
Immunohistochemistry analysis of paraffin-embedded rat brain using STAT3 antibody.High-pressure and temperature Sodium Citrate pH 6.0 was used for antigen retrieval.

Immunofluorescence analysis of STAT3 in Hela treated with IFNalpha using STAT3 antibody.
Store at 4°C short term. Aliquot and store at -20°C long term. Avoid freeze/thaw cycles.





