This gene encodes a member of the CD1 family of transmembrane glycoproteins, which are structurally related to the major histocompatibility complex (MHC) proteins and form heterodimers with beta-2-microglobulin. The CD1 proteins mediate the presentation of primarily lipid and glycolipid antigens of self or microbial origin to T cells. The human genome contains five CD1 family genes organized in a cluster on chromosome 1. The CD1 family members are thought to differ in their cellular localization and specificity for particular lipid ligands. The protein encoded by this gene is broadly distributed throughout the endocytic system via a tyrosine-based motif in the cytoplasmic tail. Alternatively spliced transcript variants of this gene have been observed, but their full-length nature is not known. [provided by RefSeq, Jul
推荐稀释比 IHC:1/50-1/100

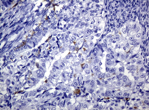
Immunohistochemistry analysis of paraffin-embedded Human endometrium Adenocarcinoma using CD1C antibbody. High-pressure and temperature Sodium Citrate pH 6.0 was used for antigen retrieval.
Store at 4°C short term. Aliquot and store at -20°C long term. Avoid freeze/thaw cycles.





