Claudin 7 Mouse mAb(IHC专用)
产品介绍
This gene encodes a member of the claudin family. Claudins are integral membrane proteins and components of tight junction strands.
产品性质
产品特色
推荐稀释比 IHC:1/100-1/500
应用案例

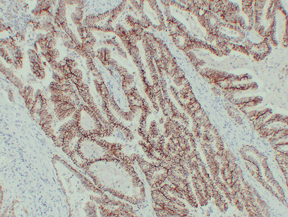
Immunohistochemistry analysis of paraffin-embedded Chromophobe cell renal carcinoma using Claudin 7 antibody.High-pressure and temperature Sodium Citrate pH 6.0 was used for antigen retrieval.

Immunohistochemistry analysis of paraffin-embedded Colon carcinoma using Claudin 7 antibody.High-pressure and temperature Sodium Citrate pH 6.0 was used for antigen retrieval.

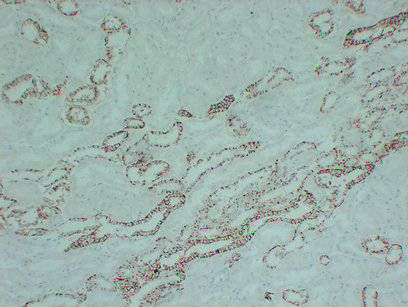
Immunohistochemistry analysis of paraffin-embedded Kindey using Claudin 7 antibody. High-pressure and temperature Sodium Citrate pH 6.0 was used for antigen retrieval.
存储条件
-25 ~ -15℃保存,收到货之后有效期1年,避免反复冻融。
COA
已发表文献
相关产品
联系我们





