Cadherins are calcium dependent cell adhesion proteins. They preferentially interact with themselves in a homophilic manner in connecting cells; cadherins may thus contribute to the sorting of heterogeneous cell types.
推荐稀释比 IHC:1/100-1/500

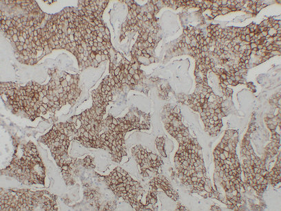
Immunohistochemistry analysis of paraffin-embedded Chromophobe cell renal carcinoma using Cadherin 16 antibody.High-pressure and temperature Sodium Citrate pH 6.0 was used for antigen retrieval.

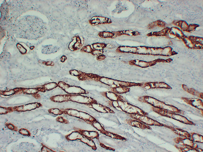
Immunohistochemistry analysis of paraffin-embedded Kindey using Cadherin 16 antibody.High-pressure and temperature Sodium Citrate pH 6.0 was used for antigen retrieval.

Immunohistochemistry analysis of paraffin-embedded Renal clear cell carcinoma using Cadherin 16 antibody. High-pressure and temperature Sodium Citrate pH 6.0 was used for antigen retrieval.
Store at 4°C short term. Aliquot and store at -20°C long term. Avoid freeze/thaw cycles.





