This gene encodes a member of the cytochrome P450 superfamily of enzymes. The cytochrome P450 proteins are monooxygenases which catalyze many reactions involved in drug metabolism and synthesis of cholesterol, steroids and other lipids. The protein encoded by this gene localizes to the endoplasmic reticulum and its expression is induced by some polycyclic aromatic hydrocarbons (PAHs), some of which are found in cigarette smoke. The enzyme's endogenous substrate is unknown; however, it is able to metabolize some PAHs to carcinogenic intermediates. Other xenobiotic substrates for this enzyme include caffeine, aflatoxin B1, and acetaminophen. The transcript from this gene contains four Alu sequences flanked by direct repeats in the 3' untranslated region. [provided by RefSeq, Jul 2008]
推荐稀释比 IHC:1/50-1/100

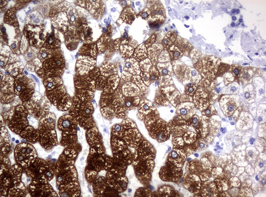
Immunohistochemistry analysis of paraffin-embedded Human liver tissue using Cytochrome P450 1A2 antibbody. High-pressure and temperature Sodium Citrate pH 6.0 was used for antigen retrieval.

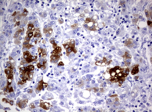
Immunohistochemistry analysis of paraffin-embedded Human liver Carcinoma using Cytochrome P450 1A2 antibbody. High-pressure and temperature Sodium Citrate pH 6.0 was used for antigen retrieval.
Store at 4°C short term. Aliquot and store at -20°C long term. Avoid freeze/thaw cycles.





