The protein encoded by this gene is a member of the protein tyrosine phosphatase (PTP) family. PTPs are known to be signaling molecules that regulate a variety of cellular processes including cell growth, differentiation, mitosis, and oncogenic transformation. This PTP contains an extracellular domain, a single transmembrane segment and two tandem intracytoplasmic catalytic domains, and thus is classified as a receptor type PTP. This PTP has been shown to be an essential regulator of T- and B-cell antigen receptor signaling. It functions through either direct interaction with components of the antigen receptor complexes, or by activating various Src family kinases required for the antigen receptor signaling. This PTP also suppresses JAK kinases, and thus functions as a regulator of cytokine receptor signaling. Alternatively spliced transcripts variants of this gene, which encode distinct isoforms, have been reported.
推荐稀释比 WB:1/1000-1/4000;IHC:1/200-1/400

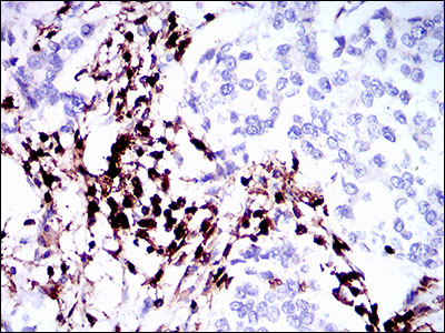
Immunohistochemistry analysis of paraffin-embedded breast cancer tissues using PTPRC antibody with DAB staining.High-pressure and temperature Sodium Citrate pH 6.0 was used for antigen retrieval.
-25 ~ -15℃保存,收到货之后有效期1年,避免反复冻融。





