Gastrin is a hormone whose main function is to stimulate secretion of hydrochloric acid by the gastric mucosa, which results in gastrin formation inhibition. This hormone also acts as a mitogenic factor for gastrointestinal epithelial cells. Gastrin has two biologically active peptide forms, G34 and G17.
推荐稀释比 IHC:1/100-1/500

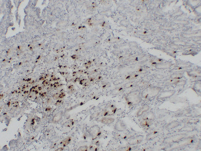
Immunohistochemistry analysis of paraffin-embedded Gastric adenocarcinoma using Gastrin antibody.High-pressure and temperature Sodium Citrate pH 6.0 was used for antigen retrieval.

Immunohistochemistry analysis of paraffin-embedded Stomach using Gastrin antibody.High-pressure and temperature Sodium Citrate pH 6.0 was used for antigen retrieval.

Immunohistochemistry analysis of paraffin-embedded Stomach using Gastrin antibody. High-pressure and temperature Sodium Citrate pH 6.0 was used for antigen retrieval.
Store at 4°C short term. Aliquot and store at -20°C long term. Avoid freeze/thaw cycles.





