Estrogen Inducible Protein pS2 Mouse mAb(IHC专用)
产品介绍
Stabilizer of the mucous gel overlying the gastrointestinal mucosa that provides a physical barrier against various noxious agents. May inhibit the growth of calcium oxalate crystals in urine.
产品性质
产品特色
推荐稀释比 IHC:1/100-1/500
应用案例

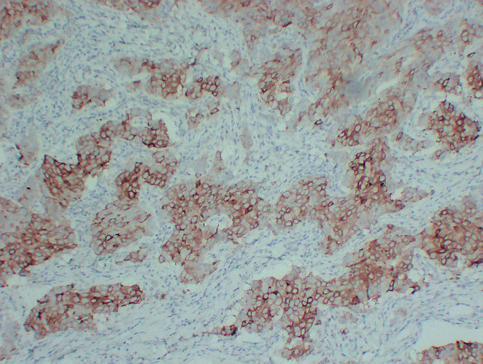
Immunohistochemistry analysis of paraffin-embedded Human Breast carcinoma using Estrogen Inducible Protein pS2 antibody.High-pressure and temperature Sodium Citrate pH 6.0 was used for antigen retrieval.

Immunohistochemistry analysis of paraffin-embedded Human Breast carcinoma using Estrogen Inducible Protein pS2 antibody.High-pressure and temperature Sodium Citrate pH 6.0 was used for antigen retrieval.
存储条件
Store at 4°C short term. Aliquot and store at -20°C long term. Avoid freeze/thaw cycles.
COA
联系我们





