Calretinin Mouse mAb(IHC专用)
产品介绍
Calretinin is a calcium-binding protein which is abundant in auditory neurons.
产品性质
产品特色
推荐稀释比 IHC:1/100-1/500
应用案例

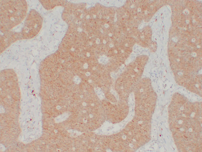
Immunohistochemistry analysis of paraffin-embedded Granulosa cell tumor of ovary using Calretinin antibody.High-pressure and temperature Sodium Citrate pH 6.0 was used for antigen retrieval.

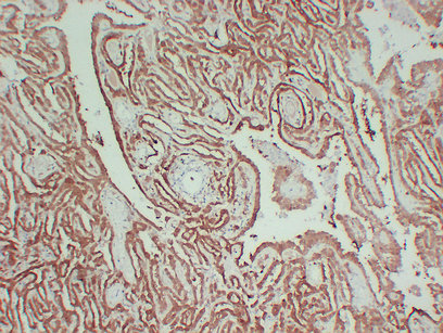
Immunohistochemistry analysis of paraffin-embedded Mesothelioma using Calretinin antibody.High-pressure and temperature Sodium Citrate pH 6.0 was used for antigen retrieval.
存储条件
Store at 4°C short term. Aliquot and store at -20°C long term. Avoid freeze/thaw cycles.
COA
联系我们





