Plays important roles in the innate immune response as effector of glucocorticoid-mediated responses and regulator of the inflammatory process. Has anti-inflammatory activity. Plays a role in glucocorticoid-mediated down-regulation of the early phase of the inflammatory response . Promotes resolution of inflammation and wound healing. Functions at least in part by activating the formyl peptide receptors and downstream signaling cascades. Promotes chemotaxis of granulocytes and monocytes via activation of the formyl peptide receptors. Contributes to the adaptive immune response by enhancing signaling cascades that are triggered by T-cell activation, regulates differentiation and proliferation of activated T-cells. Promotes the differentiation of T-cells into Th1 cells and negatively regulates differentiation into Th2 cells. Has no effect on unstimulated T cells. Promotes rearrangement of the actin cytoskeleton, cell polarization and cell migration. Negatively regulates hormone exocytosis via activation of the formyl peptide receptors and reorganization of the actin cytoskeleton. Has high affinity for Ca2+ and can bind up to eight Ca2+ ions . Displays Ca2+-dependent binding to phospholipid membranes. Plays a role in the formation of phagocytic cups and phagosomes. Plays a role in phagocytosis by mediating the Ca2+-dependent interaction between phagosomes and the actin cytoskeleton .
推荐稀释比 IHC:1/100-1/500

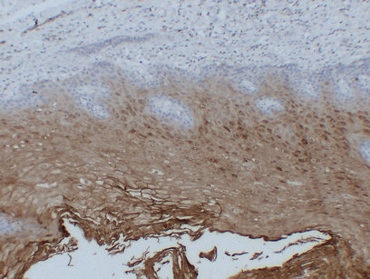
Immunohistochemistry analysis of paraffin-embedded Esophagus using Annexin A1 antibody.High-pressure and temperature Sodium Citrate pH 6.0 was used for antigen retrieval.

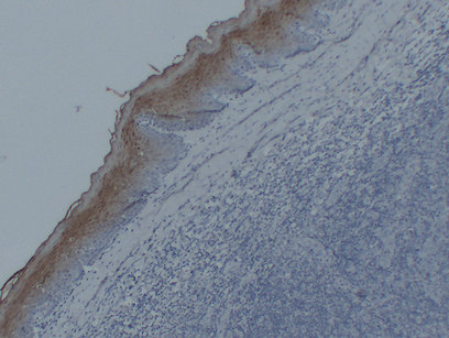
Immunohistochemistry analysis of paraffin-embedded Tonsil using Annexin A1 antibody.High-pressure and temperature Sodium Citrate pH 6.0 was used for antigen retrieval.
Store at 4°C short term. Aliquot and store at -20°C long term. Avoid freeze/thaw cycles.





