分子生物学
IVD分子诊断
细胞培养与分析
蛋白研究
重组蛋白
细胞因子
抗体
高通量测序建库
病原检测UCF系列
生物医药
工具酶
抑制剂激活剂与常用试剂
仪器
耗材
Phospho-TrkA/B (Tyr490/Tyr516) Rab mAb
产品详情
FAQ
产品文档
已发表文献
产品介绍

The family of Trk receptor tyrosine kinases consists of TrkA, TrkB and TrkC. While the sequence of these family members is highly conserved, they are activated by different neurotrophins: TrkA by NGF, TrkB by BDNF or NT4, and TrkC by NT3. TrkA regulates proliferation and is important for development and maturation of the nervous system. Point mutations, deletions and chromosomal rearrangements (chimeras) cause ligand-independent receptor dimerization and activation of TrkA.

产品性质
产品特色

推荐稀释比 WB:1/500-1/1000

应用案例

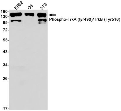
Western blot analysis of Phospho-TrkA (tyr490)/TrkB (Tyr516) in K562, C6, 3T3 lysates using Phospho-TrkA/B (Tyr490/Tyr516) antibody.

存储条件

Store at 4°C short term. Aliquot and store at -20°C long term. Avoid freeze/thaw cycles.

COA
联系我们
购物车
客服
转染试用