分子生物学
IVD分子诊断
细胞培养与分析
蛋白研究
重组蛋白
细胞因子
抗体
高通量测序建库
病原检测UCF系列
生物医药
工具酶
抑制剂激活剂与常用试剂
仪器
耗材
Phospho-eIF4B (Ser406) Rabbit mAb
产品详情
FAQ
产品文档
已发表文献
产品介绍

The eukaryotic translation initiation factor 4B (eIF4B) plays a critical role in recruiting the 40S ribosomal subunit to the mRNA.It functions in close association with eIF4F and eIF4A. It binds near the 5'-terminal cap of mRNA in the presence of eIF4F and ATP. It promotes the ATPase activity and the ATP-dependent RNA unwinding activity of both eIF4A and eIF4F

产品性质
产品特色

推荐稀释比 WB:1/500-1/1000;IHC:1/50-1/100

应用案例

Western blot analysis of Phospho-eIF4B (Ser406) in mouse heart lysates using Phospho-eIF4B (Ser406) antibody.

Western blot analysis of eIF4B (Phospho-Ser406) in A549, HL-60, U2OS, C6 lysates using eIF4B (Phospho-Ser406) antibody.

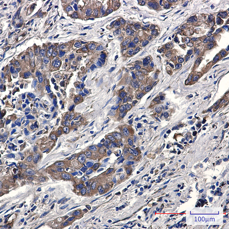
Immunohistochemistry analysis of paraffin-embedded Human lung cancer using eIF4B (Phospho-Ser406) antibody. High-pressure and temperature Sodium Citrate pH 6.0 was used for antigen retrieval.

存储条件

Store at 4°C short term. Aliquot and store at -20°C long term. Avoid freeze/thaw cycles.

COA
联系我们
购物车
客服
转染试用