Substance P Rabbit mAb
产品介绍
Tachykinins are active peptides which excite neurons, evoke behavioral responses, are potent vasodilators and secretagogues, and contract (directly or indirectly) many smooth muscles.
产品性质
产品特色
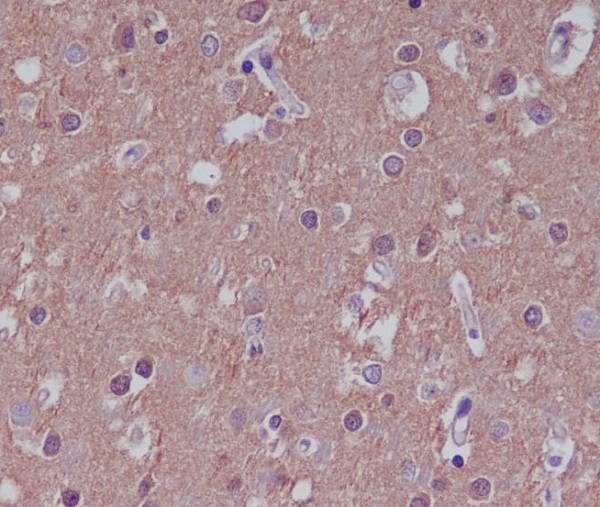
推荐稀释比 IHC:1/100-1/200
应用案例
Immunohistochemistry analysis of paraffin-embedded human brain using Substance P Antibody. High-pressure and temperature Sodium Citrate pH 6.0 was used for antigen retrieval.
存储条件
-25 ~ -15℃保存,收到货之后有效期1年,避免反复冻融。
COA
相关产品
推荐应用
联系我们





