Involved in endochondral bone formation as negative regulator of bone mineralization. Stimulates the proliferation of endothelial cells and promotes angiogenesis. Inhibits MMP9 proteolytic activity.
推荐稀释比 WB:1/500-1/1000;IHC:1/50-1/100;IF:1/50-1/200;IP:1/20

Immunocytochemistry analysis of Extracellular Matrix Protein 1 (green) in K562 using Extracellular Matrix Protein 1 antibody,and DAPI(blue).

Western blot analysis of Extracellular matrix protein 1 in Hela lysates using Extracellular matrix protein 1 antibody.

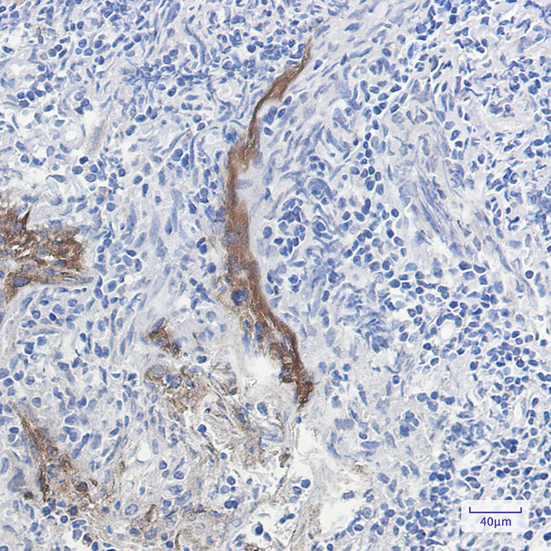
Immunohistochemistry analysis of paraffin-embedded Human tonsil using Extracellular matrix protein 1 antibody. High-pressure and temperature Sodium Citrate pH 6.0 was used for antigen retrieval.
Store at 4°C short term. Aliquot and store at -20°C long term. Avoid freeze/thaw cycles.





