分子生物学
IVD分子诊断
细胞培养与分析
蛋白研究
重组蛋白
细胞因子
抗体
高通量测序建库
病原检测UCF系列
生物医药
工具酶
抑制剂激活剂与常用试剂
仪器
耗材
Glycophorin A Mouse mAb
产品详情
FAQ
产品文档
已发表文献
产品介绍

Glycophorin A is the major intrinsic membrane protein of the erythrocyte. The N-terminal glycosylated segment, which lies outside the erythrocyte membrane, has MN blood group receptors. Appears to be important for the function of SLC4A1 and is required for high activity of SLC4A1. May be involved in translocation of SLC4A1 to the plasma membrane. Is a receptor for influenza virus. Is a receptor for Plasmodium falciparum erythrocyte-binding antigen 175 (EBA-175); binding of EBA-175 is dependent on sialic acid residues of the O-linked glycans. Appears to be a receptor for Hepatitis A virus (HAV).

产品性质
产品特色

推荐稀释比 IHC-P:1/50-1/100;FC:1/50-1/100

应用案例

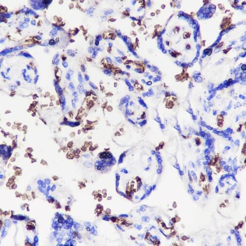
Immunohistochemistry analysis of paraffin-embedded Human placenta using Glycophorin A antibody.High pressure and temperature Tris/EDTA (PH 9.0) used for antigen retrieval.The brown color represents the positive signal observed with Glycophorin A antibody.

Flow Cytometry analysis of K-562 cell line stained with Glycophorin A antibody(Red).Blue line histogram represents nonspecific negative control

存储条件

Store at 4°C short term. Aliquot and store at -20°C long term. Avoid freeze/thaw cycles.

COA
联系我们
购物车
客服
转染试用