分子生物学
IVD分子诊断
细胞培养与分析
蛋白研究
重组蛋白
细胞因子
抗体
高通量测序建库
病原检测UCF系列
生物医药
工具酶
抑制剂激活剂与常用试剂
仪器
耗材
Phospho-CDK2 (Tyr15) Rabbit pAb
产品详情
FAQ
产品文档
已发表文献
产品介绍

The protein encoded by this gene is a member of the Ser/Thr protein kinase family. This protein is a catalytic subunit of the highly conserved protein kinase complex known as M-phase promoting factor (MPF), which is essential for G1/S and G2/M phase transitions of eukaryotic cell cycle.

产品性质
产品特色

推荐稀释比 WB:1/500-1/1000;IHC:1/50-1/100;IP:1/20

应用案例

Western blot analysis of Phospho-CDK2 (Y15) in (1) HeLa treated with AP; (2) HeLa lysates using Phospho-CDK2 (Tyr15) antibody.

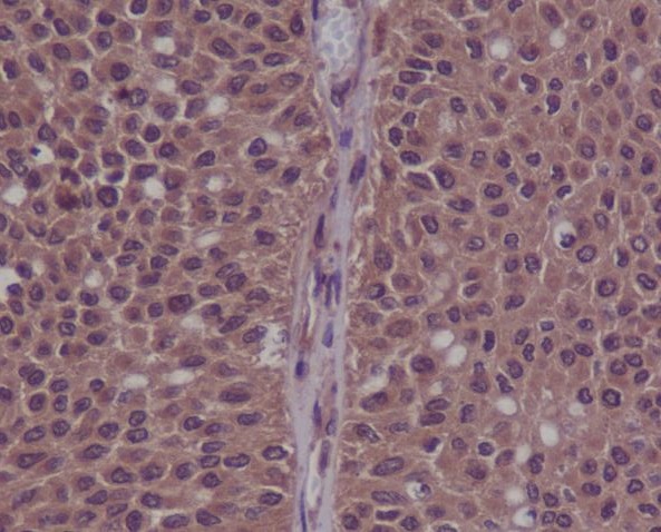
Immunohistochemistry analysis of paraffin-embedded Human bladder cancer using Phospho-CDK2 (Y15) antibody.High-pressure and temperature Sodium Citrate pH 6.0 was used for antigen retrieval.

存储条件

Store at 4°C short term. Aliquot and store at -20°C long term. Avoid freeze/thaw cycles.

COA
联系我们
购物车
客服
转染试用