分子生物学
IVD分子诊断
细胞培养与分析
蛋白研究
重组蛋白
细胞因子
抗体
高通量测序建库
病原检测UCF系列
生物医药
工具酶
抑制剂激活剂与常用试剂
仪器
耗材
Phospho-GSK3 (Tyr279/Tyr216) Rabbit pAb
产品详情
FAQ
产品文档
已发表文献
产品介绍

GSK3A a proline-directed protein kinase of the GSK family. Implicated in the control of several regulatory proteins including glycogen synthase, Myb, and c-Jun. GSK3 and GSK3 have similar functions. GSK3 phophorylates tau, the principal component of neurofibrillary tangles in Alzheimer disease and is required for maximal production of amyloid plaque peptides by secretase.

产品性质
产品特色

推荐稀释比 WB:1/500-1/1000;IHC:1/50-1/100;ICC-1/100-1/200

应用案例

Western blot analysis of Phospho-GSK3 (Tyr279/Tyr216) in 293 lysates using Phospho-GSK3 alpha/beta (Tyr279/Tyr216) antibody.

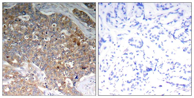
Immunohistochemistry analysis of paraffin-embedded Human breast carcinoma tissue using Phospho-GSK3 (Tyr279/Tyr216) antibody.High-pressure and temperature Sodium Citrate pH 6.0 was used for antigen retrieval. Sample with blocking peptide on the right.

Immunofluorescence analysis of Phospho-GSK3 (Tyr279/Tyr216) in Hela cells using GSK3a/b(Phospho-Tyr279/216) antibody(red).

存储条件

Store at 4°C short term. Aliquot and store at -20°C long term. Avoid freeze/thaw cycles.

COA
联系我们
购物车
客服
转染试用