分子生物学
IVD分子诊断
细胞培养与分析
蛋白研究
重组蛋白
细胞因子
抗体
高通量测序建库
病原检测UCF系列
生物医药
工具酶
抑制剂激活剂与常用试剂
仪器
耗材
Elongation Factor 1A1 Mouse mAb
产品详情
FAQ
产品文档
已发表文献
产品介绍

This protein promotes the GTP-dependent binding of aminoacyl-tRNA to the A-site of ribosomes during protein biosynthesis. Plays a role in the positive regulation of IFNG transcription in T-helper 1 cells as part of an IFNG promoter-binding complex with TXK and PARP1.

产品性质
产品特色

推荐稀释比 WB:1/500-1/1000;IHC-P:1/50-1/100

应用案例

Western blot analysis of Elongation Factor 1A1 in lysates of MCF-7,Daudi,4T1 and BRL using Elongation Factor 1A1 antibody.

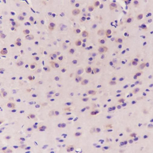
Immunohistochemistry analysis of paraffin-embedded Mouse brain using Elongation Factor 1A1 antibody.High pressure and temperature Tris/EDTA (PH 9.0) used for antigen retrieval.The brown color represents the positive signal observed with Elongation Factor 1A1 antibody.

存储条件

Store at 4°C short term. Aliquot and store at -20°C long term. Avoid freeze/thaw cycles.

COA
联系我们
购物车
客服
转染试用