分子生物学
IVD分子诊断
细胞培养与分析
蛋白研究
重组蛋白
细胞因子
抗体
高通量测序建库
病原检测UCF系列
生物医药
工具酶
抑制剂激活剂与常用试剂
仪器
耗材
Inhibin alpha Mouse mAb
产品详情
FAQ
产品文档
已发表文献
产品介绍
Inhibins and activins inhibit and activate, respectively, the secretion of follitropin by the pituitary gland. Inhibins/activins are involved in regulating a number of diverse functions such as hypothalamic and pituitary hormone secretion, gonadal hormone secretion, germ cell development and maturation, erythroid differentiation, insulin secretion, nerve cell survival, embryonic axial development or bone growth, depending on their subunit composition.
产品性质
产品特色
推荐稀释比 IHC:1/100-1/200;IF:1/50-1/200
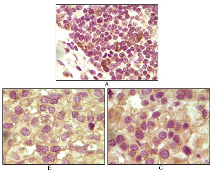
应用案例

Immunohistochemistry analysis of paraffin-embedded Human lymphoid (A), ovary tumor (B) and testicle tumor (C) tissues using Inhibin alpha antibody with DAB staining.High-pressure and temperature Sodium Citrate pH 6.0 was used for antigen retrieval.

存储条件
Store at 4°C short term. Aliquot and store at -20°C long term. Avoid freeze/thaw cycles.
COA
联系我们
购物车
客服
转染试用