Integrin-linked kinases (ILKs) couple integrins and growth factors to downstream pathways involved in cell survival, cell cycle control, cell-cell adhesion and cell motility. ILK functions as a scaffold bridging the extracellular matrix (ECM) and growth factor receptors to the actin cytoskeleton through interactions with integrin, PINCH (which links ILK to the RTKs via Nck2), CH-ILKBP and affixin.
推荐稀释比 WB:1/500-1/1000;IHC:1/50-1/100;IF:1/50-1/200;IP:1/20;FC:1/50-1/100

Western blot analysis of ILK in K562 lysates using Integrin Linked ILK antibody.

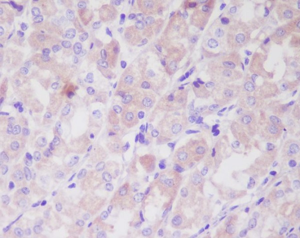
Immunohistochemistry analysis of paraffin-embedded Human stomach using ILK antibody.High-pressure and temperature Sodium Citrate pH 6.0 was used for antigen retrieval.

Immunofluorescence analysis of Integrin Linked ILK in 293 using ILK antibody.
Store at 4°C short term. Aliquot and store at -20°C long term. Avoid freeze/thaw cycles.





