USP9X Mouse mAb [KO验证]
产品介绍
Deubiquitinase involved both in the processing of ubiquitin precursors and of ubiquitinated proteins. May therefore play an important role regulatory role at the level of protein turnover by preventing degradation of proteins through the removal of conjugated ubiquitin.
产品性质
产品特色
推荐稀释比 WB:1/500-1/1000;IHC:1/50-1/100
应用案例

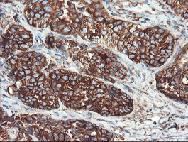
Immunohistochemistry analysis of paraffin-embedded Adenocarcinoma of Human ovary tissue using USP9X antibody.High-pressure and temperature Sodium Citrate pH 6.0 was used for antigen retrieval.
存储条件
Store at 4°C short term. Aliquot and store at -27°C long term. Avoid freeze/thaw cycles.
COA
联系我们





