PACSIN3 Mouse mAb [KO验证]
产品介绍
Plays a role in endocytosis and regulates internalization of plasma membrane proteins.
产品性质
产品特色
推荐稀释比 WB:1/500-1/1000;IHC:1/50-1/100
应用案例

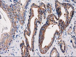
Immunohistochemistry analysis of paraffin-embedded Carcinoma of Human prostate tissue using PACSIN3 antibody.High-pressure and temperature Sodium Citrate pH 6.0 was used for antigen retrieval.
存储条件
Store at 4°C short term. Aliquot and store at -20°C long term. Avoid freeze/thaw cycles.
COA
联系我们





