CD14 antigen is a GPI-linked glycoprotein with a molecular weight of 55kD. The CD14 antigen is expressed on cells of the myelomonocytic lineage including monocytes, macrophages and Langerhans cells. Low expression is observed on neutrophils and on human B cells. CD14 antigen is a receptor for bacterial lipopolysaccharide (LPS, endotoxin) and the lipopolysaccharide binding protein (LBP). LBP and CD14 antigen serves two physiological roles.
推荐稀释比 IHC:1/100-1/500

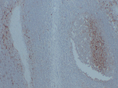
Immunohistochemistry analysis of paraffin-embedded Spleen using CD14 antibody.High-pressure and temperature Sodium Citrate pH 6.0 was used for antigen retrieval.

Immunohistochemistry analysis of paraffin-embedded Spleen using CD14 antibody.High-pressure and temperature Sodium Citrate pH 6.0 was used for antigen retrieval.

Immunohistochemistry analysis of paraffin-embedded Tonsil using CD14 antibody. High-pressure and temperature Sodium Citrate pH 6.0 was used for antigen retrieval.
Store at 4°C short term. Aliquot and store at -20°C long term. Avoid freeze/thaw cycles.





