Keratins (cytokeratins) are intermediate filament proteins that are mainly expressed in epithelial cells. Involved in the activation of follicular keratinocytes after wounding, while it does not play a major role in keratinocyte proliferation or migration. Participates in the regulation of epithelial migration by inhibiting the activity of SRC during wound repair.
推荐稀释比 IHC:1/100-1/500

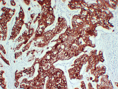
Immunohistochemistry analysis of paraffin-embedded Lung squamous cell carcinoma using Cytokeratin 6A antibody.High-pressure and temperature Sodium Citrate pH 6.0 was used for antigen retrieval.

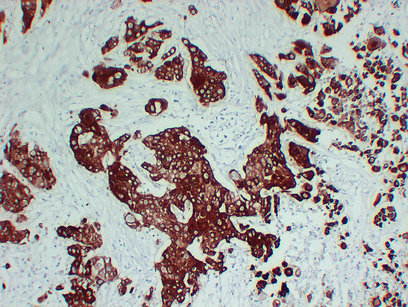
Immunohistochemistry analysis of paraffin-embedded Lung squamous cell carcinoma using Cytokeratin 6A antibody.High-pressure and temperature Sodium Citrate pH 6.0 was used for antigen retrieval.

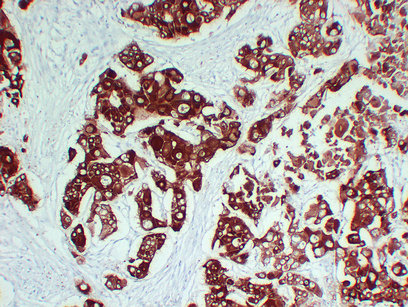
Immunohistochemistry analysis of paraffin-embedded Lung squamous cell carcinoma using Cytokeratin 6A antibody. High-pressure and temperature Sodium Citrate pH 6.0 was used for antigen retrieval.
Store at 4°C short term. Aliquot and store at -20°C long term. Avoid freeze/thaw cycles.





