Choriogonadotropin Subunit beta 3/7 Mouse mAb(IHC专用)
产品介绍
Glycoprotein hormones are heterodimers consisting of a common alpha subunit and an unique beta subunit which confers biological specificity. CG is produced by the trophoblastic cells of the placenta and stimulates the ovaries to synthesize the steroids that are essential for the maintenance of pregnancy. The beta subunit of CG is encoded by 6 genes which are arranged in tandem and inverted pairs on chromosome 19q13.3 and contiguous with the luteinizing hormone beta subunit gene.
产品性质
产品特色
推荐稀释比 IHC:1/100-1/500
应用案例

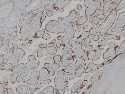
Immunohistochemistry analysis of paraffin-embedded Placenta using Choriogonadotropin Subunit beta 3/7 antibody.High-pressure and temperature Sodium Citrate pH 6.0 was used for antigen retrieval.
存储条件
-25 ~ -15℃保存,收到货之后有效期1年,避免反复冻融。
COA
相关产品
联系我们





